Yeni Zelanda’da bir adam, pırlanta işlemeli yumurta şeklindeki 806 bin TL değerindeki bir kolyeyi yutarak çalmaya kalktı.
Polis, Auckland merkezindeki bir kuyumcu dükkanında geçen cuma öğleden sonra 32 yaşındaki şüphelinin mağaza içinde gizlice kolyeyi yuttuğunu, ancak kameralara yakalandığını söyledi.
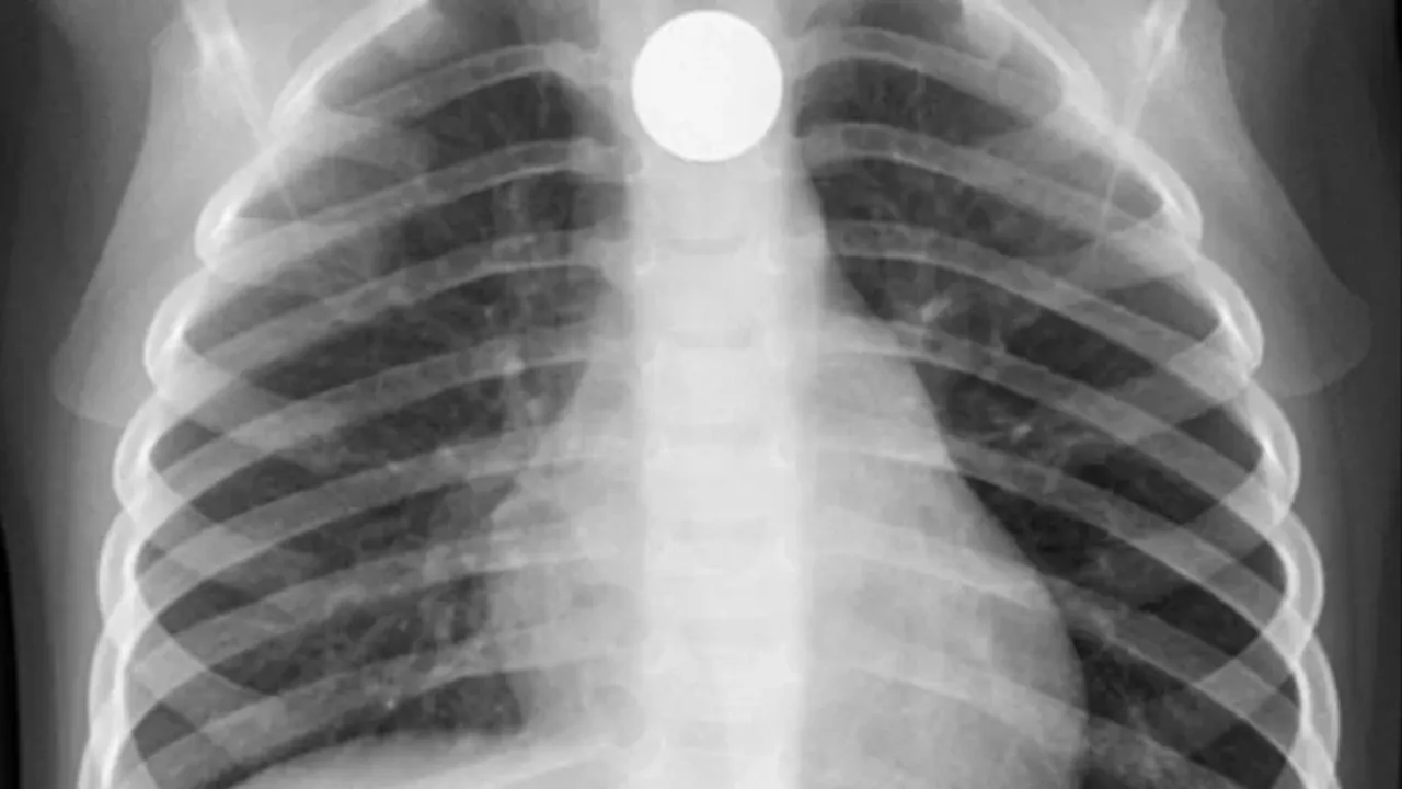
Değeri 33 bin 585 Yeni Zelanda doları (806 bin TL) olan 'Fabergé yumurtası' biçimindeki kolye, hala adamın karnının içinde.
Kuyumcunun sitesine göre kolyede 60 beyaz pırlanta ve 15 mavi safir var. Açılabilen yumurtanın içinde 18 ayar altından küçük bir ahtapot figürü görülüyor.
“Octopussy” adı verilen parça 1983 yapımı aynı adlı James Bond filmindeki Fabergé yumurtası soygunundan esinlenmişti.
Şüpheli 8 Aralık’ta yeniden mahkemeye çıkacak. Hakkında ayrıca 12 Kasım’da aynı mağazadan iPad çalmak ve ertesi gün bir adresten yaklaşık 100 dolar değerinde kedi kumu ile pire ürünleri almak suçlamaları da bulunuyor.






